Диагностика болезней легких и бронхов с помощью рентген-аппарата

✎ Блинцов ⏱ 10.02.2023 👁 25 🗨 0 
0
⏳ 2 мин

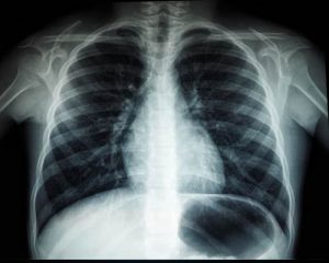
РентгенПервое назначение при подозрении на патологию дыхательных органов — рентгенография. Обследование проводят в 2-х проекциях: фас и профиль. Рентген-процедура помогает сделать правильные первые выводы о заболевании и провести дифференциальную диагностику — то есть исключить болезни со сходной симптоматикой.

Если вас как раз интересуют расходные материалы для рентгена, то вам стоит зайти на сайт компании ЗАО НПО «Гарант». Вашему вниманию широкий ассортимент товаров, среди которых вы можете найти и заказать именно то, что вам необходимо. Оборудование, кассеты и пленка для различных видов рентгена и флюорографии. Кроме того, здесь же представлены и другие медицинские расходные материалы. На сайте вы можете ознакомиться с полным каталогом, расценками, адресом в Москве и контактами для связи.

Ультразвуковое исследование

С помощью УЗИ оценивают состояние плевры, проводят биопсию. Иногда в ходе сканирования на УЗ-аппарате диагностируются заболевания других органов грудной клетки, расположенных недалеко от легких. Ультразвуковое сканирование дает возможность контроля за проведением пункции плевральной полости, забора тканей или жидкостей для анализа, введения медикаментозных препаратов.

Ангиография

Еще одним достаточно информативным видом лучевой диагностики при заболеваниях легких является ангиография — разновидность рентгена с использованием контраста. Для этого вводят раствор контрастного вещества (внутривенно), после чего через равные промежутки времени делают снимки. Ангиография незаменима для принятия решения о хирургическом вмешательстве при таких тяжелых патологиях, как легочная тромбоэмболия или рак легких. Самый точный результат ангиография дает в сочетании с томографией.

Томография

Томография — это один из самых информативных видов диагностики легочных заболеваний: кольцевидный рентген, при котором делаются снимки под разными углами. Компьютерная томография позволяет оцифровать снимки, с высокой четкостью визуализировать срезы легочных тканей для последующего изучения.

Тораскопия

Тораскопия — исследование, при котором специальное устройство, тораскоп, вводят в прокол в грудной клетке. Процедура проводится под анестезией. Применяется для исследования плевральной полости, позволяет взять образцы тканей для биохимического анализа.

Бронхоскопия

Бронхоскопия — это специальное исследование легких и бронхов бронхоскопом. При любых патологических процессах в бронхах и трахеях именно оно является ключевым. В ходе процедуры производится изъятие мокроты. Мазок берут специальным тампоном и отправляют в лабораторию для проведения анализа.

Лабораторная диагностика заболеваний легких

Лабораторные клинические анализы являются важнейшей частью диагностики болезней органов дыхания. Материалы для гистологического, цитологического и микробиологического анализа получают с помощью биопсии или пункции в процессе аппаратных исследований.

Еще один важный метод диагностики легких — анализ мокроты. Исследование помогает выявить воспалительные и аллергические процессы, наличие бактерий, опухолей, гнойных явлений и т. д.

Не потеряйте статью! 💡 Сохраните её или поделитесь с друзьями!

0 комментариев
Guest
📎 Изображение прикреплено
×
×